入れ歯
目次
埼玉・与野で入れ歯/
義歯治療をお考えの方へ

安心の入れ歯づくりを
サポートしています
このようなお悩みはありませんか?
- はじめて入れ歯を作ろうかと考えている
- いま使っている入れ歯が合わない
- 口元を気にせずに思いっきり笑いたい
- 食事をしっかり噛んで楽しみたい
- 費用をできるだけ安く抑えたい
- インプラントか入れ歯か迷っている など
上記のようなお悩みを抱えていらっしゃる方は、ご遠慮なく埼玉県さいたま市・与野駅前の歯医者|歯科医院【与野さとむら歯科】へご相談ください。
当院では、保険治療(保険適用内)・自費治療ともに幅広い入れ歯づくりに対応し、可能なかぎり迅速にご提供できるよう努めております。
お口の状態を確認させていただき、治療に関する不安や疑問につきましても、分かりやすく丁寧にお答えしております。
入れ歯かインプラントか
迷っている方へ
当院では、インプラントと補綴のダブル専門医の丸尾 勝一郎先生が、院長と連携して安心のインプラント治療をご提供しており、また、皆さまのインプラントへの不安や疑問を事前にしっかりと解消できるようにと、「インプラントの無料相談」にも対応しております。
一度説明を受けてからご自宅でじっくり検討していただいたり、費用のお見積もりなども可能です。
治療を無理にお勧めすることや、ご理解とご納得を頂かないまま治療を開始することはいたしませんので、どうぞお気軽にご相談ください。
「抜歯即時義歯=
即日1day入れ歯」も好評です
抜歯即時義歯とは?
抜歯即時義歯(ばっしそくじぎし)とは、歯抜けで過ごさなければならない期間を無くすことができる入れ歯治療のことです。
当院では、保険診療でも対応しています。
歯のない期間をなくすことができる
入れ歯治療システム
通常の抜歯をともなう入れ歯治療では、まず抜歯をしてから傷が治るのを待ち、入れ歯作りに入ります。そのため、入れ歯の完成までに2ヶ月ほどかかることがあります。
その期間、「歯抜けのまま2ヶ月も過ごすのはちょっと…」と見た目を心配される患者さまも少なくありません。
そこで当院で対応しているのが、「抜歯即時義歯」と呼ばれる治療システムです。抜歯前の歯がある状態で入れ歯の型取りをし、装置を作成しておくことで、抜歯するその日から義歯を使えるようになる方法となります。
抜歯即時義歯の治療の流れ
歯の型取り
まず歯を抜く前に、型取りをしてお口の状態を模型に起こします。

入れ歯の製作
模型の抜歯予定部分を削りとり、抜歯後のイメージを想定した模型にします。
その模型に合わせて入れ歯の装置を作ります。

抜歯と入れ歯の装着
次回のご来院時に、抜歯の処置を行い、あらかじめ作っておいた入れ歯の装置をセットし調整をして完了です。

抜歯即時義歯の注意事項
- 即日入れ歯の即日とは「抜歯の当日」を指します。
初診後、入れ歯を製作する期間は必要ですのでご了承ください。 - 抜歯部分を想定して作る方法ですので、やはり通常の入れ歯製作の方法と比べるとピッタリ合うということは難しい場合もあります。
- 当院ではベテランの歯科技工士と連携し、可能なかぎり精度の高い義歯製作を行なっております。
- 患者さまのお口の状態によっては適用できない(適さない)ケースもありますので、まずはお気軽に診察にいらしてください。
入れ歯をお作りした後も、
しっかりサポートします
大切な入れ歯を清潔に長く使っていくためには、適切なお手入れが必要です。
使用後は入れ歯洗浄剤などを用いた手入れを行い、また、少なくとも半年に1回は当院での定期検診を受診されることをおすすめしています。
専門的な入れ歯のクリーニングや、合わない部分があれば裏打ちをして調整するなど、よく噛める入れ歯を維持できるよう末長くサポートさせていただきます。
ぜひお気軽にご相談ください。
定期検診・予防メンテナンスも
お任せください
埼玉県さいたま市・与野駅前の歯医者|歯科医院【与野さとむら歯科】では、日本歯周病学会 認定歯科衛生士の資格を持つスタッフ指導のもと、より専門的な虫歯や歯周病の予防にも注力しています。
「保険の入れ歯」と
「自費の入れ歯」の
違いとは?

保険適用内の入れ歯の
メリット・デメリット
保険適用内の入れ歯は、費用を安くお作りすることができます。
ただし保険のルール上、使用できる材料や作る過程に制限があるため、見た目が目立ちやすかったり、噛みにくいなどの違和感を覚える方も少なくありません。
自費治療の入れ歯の
メリット・デメリット
一方、自費治療の入れ歯は、保険適用外となるため費用が比較的高くなります。
その分、上質な材料を用いてより精密に作ることができ、見た目も自然で美しく、安定してよく噛める、長持ちしやすいものなど、一人ひとりのご希望に合わせたオーダーメイドの入れ歯をお作りすることができます。
入れ歯の種類・
特徴について

保険診療の入れ歯
レジン(特殊プラスチック)製の入れ歯
保険診療で利用できる素材は、総入れ歯・部分入れ歯ともにレジンというプラスチック製のみとなります。
メリット
- 安価で作れる
- 修理や調整がしやすい
デメリット
- 床(土台部分)に厚みがあり着けたときに違和感がある
- 噛み心地が悪いと感じる場合がある
- 耐久性がやや劣る
部分入れ歯
数本の歯を失った場合には部分的な入れ歯を製作します。
保険診療では金属のバネ(クラスプ)で固定するタイプとなります。
メリット
- 安価で作れる
デメリット
- 固いものを噛みにくい
- 金属のバネが目立ちやすい
- バネを引っかける健康な歯に負担が
かかる
(料金の目安)
| レジン床の入れ歯(片顎) | 約5,000〜10,000円(税込) |
自由診療(保険適用外)の入れ歯
ノンクラスプデンチャー
シリコン素材でできており、歯茎に当たる部分の負担を軽減することができます。
また、部分入れ歯では金属のバネ(クラスプ)を使用しない仕組みです。
メリット
- クッション効果で噛み締めることができる
- シリコンで吸着するため周囲の歯に
負担が少ない - 金属のバネを使用しないので見た目が
自然 - 金属アレルギーの心配がない
デメリット
- 飲食物の温度が伝わりにくい場合がある
- 温度変化に弱いため変形に注意が必要
- 時間経過とともに変色する場合がある
金属床義歯
床(本体・土台部分)が金属製の入れ歯です。
薄くて軽く、生体親和性にも優れた金属を材料にしたものを扱っています。
メリット
- 薄くて軽い
- 丈夫で汚れにくい
- 食事の温度が伝わりやすく美味しく
感じやすい - 身体に優しい金属のため
金属アレルギーの心配が少ない
デメリット
- 自費診療のため高額になりやすい
入れ歯・義歯治療の費用
(金額・値段・料金の目安)
詳しくは下記リンクよりご確認ください。
入れ歯治療の症例
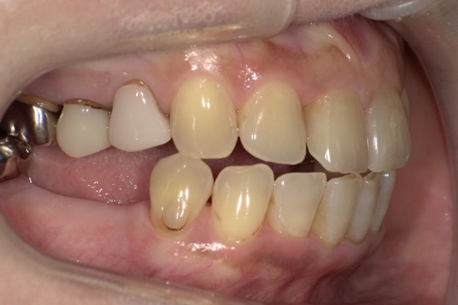
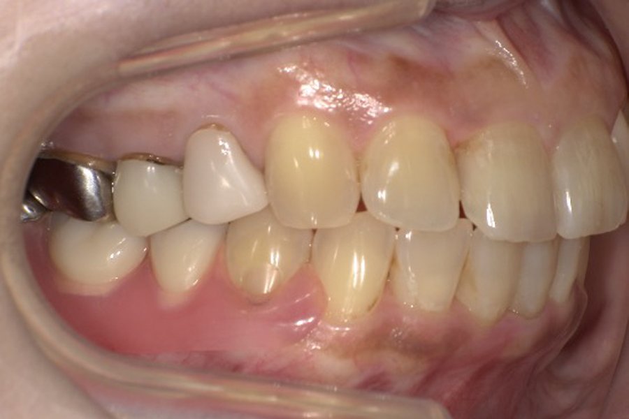
症例1:金具の見えない入れ歯を作りたい
治療前

治療後

| 主訴 | 金具の見えない入れ歯を 作りたい |
| 治療期間 | 3週間 |
| 治療費 | 154,000円 |
| 治療内容 | 右下の奥歯2本分の義歯を、金具が見えないノンクラスプデンチャーで作成しました。 |
| 治療の リスク | 毎日のお手入れ(洗浄剤等の使用)が必要です。 |


