審美歯科
目次
審美歯科治療とは?

当院の審美治療では、歯や歯並びを自然で美しい見た目に整えるのはもちろん、噛み合わせの改善や虫歯の再発防止など歯の機能面にも重きを置いた治療をご提供しています。
セラミックやジルコニアなどの白い詰め物・被せ物の製作だけでなく、前歯の「すきっ歯」や「軽度の歯並びの乱れ」などを解消することも可能です。
このようなお悩みはありませんか
- 銀歯を白くしたい
- 前歯の隙間(すきっ歯)が気になる
- 歯の形や色が気になる
- 保険治療で白い歯にしたい
- 歯並びがキレイになりたい
- 欠けた歯をキレイに治したい
- 上質で長持ちなセラミック歯にしたい
- 金属アレルギーが心配
(メタルフリー素材にしたい) - 笑顔に自信を持てるようになりたい など
「無料相談・カウンセリング」を
ご活用ください
埼玉県さいたま市・与野駅前の歯医者|歯科医院【与野さとむら歯科】では、上記のようなお悩みを解消するため、幅広い審美歯科治療の選択肢をご用意し、みなさまの口元の美と健康をサポートをしております。
保険適用の白い詰め物・被せ物(CAD/CAMインレー/CAD/CAM冠)に加え、未来の健康と笑顔を見据えた上質なセラミック・ジルコニア治療、そして治療後はオーダーメイドの予防メンテナンスをご提供しています。
お口元で少しでも気になることがございましたら、どうぞお一人で悩まずにお気軽に私たちにご相談ください。
保険治療の白い歯
(詰め物・被せ物)
について

「白いセラミックの詰め物や被せ物にしたいけど、値段が高いから…」という方には、保険適用内で作れるハイブリッドセラミック
治療(CAD/CAMインレー/CAD/CAM冠)という選択肢もございます。
令和5年12月より、保険で全ての奥歯まで白い被せ物が可能となりました(前歯も含め計24本。ブリッジは対象外)。
適用には一定の条件がありますので、ご興味のある方はお気軽にご相談ください。
ハイブリッドセラミックの特徴
- 自然な白さで透明感がありキレイ
- 銀歯と比べて虫歯になりにくい
- しなやかで歯に優しい素材
(オールセラミックと比べやや割れやすい) - レジン(歯科用樹脂)が配合されているのでやや着色しやすい
- 金属アレルギーの心配がない
(メタルフリー) - 保険診療に付随して2年間の保証有り
ハイブリッドセラミックの
費用の目安
| 詰め物 (CAD/CAMインレー) | 約4,000円/本 (※保険適応3割 負担時) |
| 被せ物 (CAD/CAM冠) | 約9,000円/本 (※保険適応3割 負担時) |
上質な
審美セラミック治療の
種類・特徴(自由診療)
オールセラミックインレー
(e-max)
オールセラミックインレーとは、セラミック素材のみで作られた白い詰め物(インレー)です。
もともとの歯の色に合わせて調整ができ、自然な見た目をかなえられる審美性の高さがメリットです。
メタルフリー/ノンメタル素材のため金属アレルギーの心配もなく、精密に作ることができるので、治療痕から虫歯が再発するリスクを抑えられます。

治療におすすめの部分
前歯。
目立ちやすく、かみ合わせの力がかかりにくい歯
など。
メリット
天然の歯のようにツヤと透明感があります。
審美性に優れ、長期間使用しても劣化や変色が起こりにくく、きれいな状態を維持できます。
デメリット
強い力がかかると欠けることがあります。
オールセラミッククラウン
(e-max)
オールセラミッククラウンとは、セラミック素材のみで作られた白い被せ物(クラウン・差し歯)です。
詰め物よりも削った部分が大きい場合に、被せるように装着します。
審美性が高く、金属アレルギーの心配もありません(メタルフリー/ノンメタル素材)。
ジルコニアと比較すると強度はやや劣りますが、天然歯に近い色調を再現することができます。

治療におすすめの部分
前歯。口を開けると目立つ歯など。
メリット
周囲の歯の色調に合わせて調整ができます。
ツヤと透明感があり、長時間使用しても劣化や変色が起こりにくい素材です。
デメリット
強い力がかかると欠けることがあります。
ジルコニアクラウン
ジルコニアクラウンとは、「人工ダイヤモンド」と呼ばれるほど強度のあるジルコニアを使用した白い被せ物(クラウン・差し歯)です。こちらも金属アレルギーの心配もありません(メタルフリー/ノンメタル素材)。
輝くような白さから、周囲の歯になじむ白さまで調整ができます。

治療におすすめの部分
奥歯。強い力で噛む部分など。
メリット
強度と耐久性の高い素材です。奥歯など噛んだときに強い力がかかっても欠けたり割れたりする可能性が低いです。
デメリット
かみ合わせる歯の負担が大きく、強く噛むと欠けることがあります。
レイヤリングジルコニアクラウン
ジルコニアの強度、オールセラミックの審美性を兼ね備えた歯科材です。
現在の歯科で最もキレイで強度のあるバランスの優れた材料と言えるでしょう。
被せ物のフレームにジルコニアを用いることで強度を確保し、その上から何層も様々な色のオールセラミックを築盛していくことで、強度と色調の兼ね備えた被せ物の製作が可能となりました。色味・透明感ともに非常に優れ、「見た目も耐久性もこだわりたい」という方にお勧めです。

治療におすすめの部分
奥歯のブリッジ。
噛んだときの力が大きく伝わる部分。
メリット
ジルコニアによって強度が増しているので、奥歯のブリッジなど大きな力がかかる歯にも使えます。
表面は透明感のあるセラミックなので、見た目も自然です。
デメリット
強度が高いので、かみ合わせる歯の負担が大きく、強く噛むと欠けることがあります。
そのほかの補綴・
審美修復治療法
ゴールドインレー/
ゴールドクラウン
金合金や白金加金など、安定した貴金属を使用した詰め物・被せ物です。
保険治療で使用される金属と比べ、こちらのゴールドはしなやかで適合も良いため虫歯になりにくい歯科修復材として高く評価されています。

ダイレクトボンディング治療
ダイレクトボンディング治療とは、歯に直接レジン(歯科用プラスチック)を盛り付けて形を整え、欠けた部分や隙間、虫歯などを修復する治療法です。審美性と機能性を兼ね備え、自然な仕上がりが特徴です。

ラミネートベニアとは
ラミネートベニア(ラミネートベニア)とは、歯の表面に薄いセラミックまたはコンポジット樹脂のシェルを貼り付けて、歯の外観を改善する歯科治療の一種です。気になる歯の形や大きさを短期間で美しく整えることができ、他の修復治療と比べ歯を削る量を抑えることが可能です。

審美歯科治療の症例
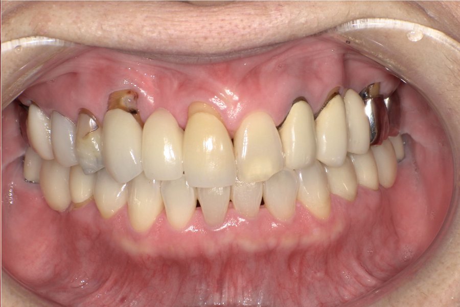
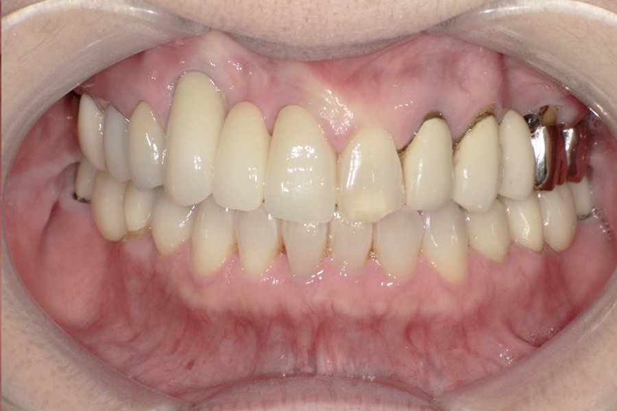
症例1:歯を白くしたい、
前歯の被せ物をやり直したい
治療前

治療後

| 主訴 | 歯を白くしたい、 前歯の被せ物をやり直したい |
| 治療期間 | 1ヶ月 |
| 治療費 | 総額187,000円(ホワイトニングは医院開業特別価格) |
| 治療内容 | デュアルホワイトニング(ホーム+オフィス)で11トーン明るくし、その色に合わせて左上1番目の前歯をレイヤリングジルコニアクラウンで補綴しました。 |
| 治療の リスク | ホームホワイトニングを行う際は、適切な薬液の量と時間を守らないと、知覚過敏を起こすことがあります。 |
症例2:右上の前歯が痛い
治療前

治療後

| 主訴 | 右上の前歯が痛い |
| 治療期間 | 1ヶ月 |
| 治療費 | 総額466,400円 |
| 治療内容 | 右上の前歯のブリッジを外し、根管治療を行い、ファイバーコアで土台を立てた後、 レイヤリングジルコニアブリッジにて補綴をしました。 |
| 治療の リスク | ブリッジの歯茎に接している部分には歯間ブラシ等のケアが必要です。 |
審美歯科治療の費用
(金額・値段・料金)

審美歯科治療の費用は、患者さまの治療部位や選択される素材、治療方法などによって異なります。
保険適用できるかどうか知りたい、治療費が気になるという方も、まずはお気軽に当院の無料相談へいらしてください。
お見積もりなども可能です。


