ホワイトニング
目次
歯医者さんの
ホワイトニング

こんな方にオススメ
- 白く美しい歯で笑顔に自信をつけたい方
- 美容に興味があり、歯を白くしてみたい方
- 仕事や就職活動などで印象をもっと
良くしたい方 - 芸能人のような白く輝く歯を手に
入れたい方 - 結婚式や記念日を美しい歯で迎えたい方
- プロの施術で安心安全に白い歯に
したい方 など
ホワイトニングで
輝くような白い歯へ

歯科のホワイトニングとは、歯を削ることなく薬剤で歯を白くする方法です。
歯が変色する原因の1つとして、コーヒーやワイン、タバコなどによる着色がありますが、こうした汚れは専門の歯のクリーニングだけでもある程度落とすことができます。
しかし、加齢による歯の黄ばみや、エナメル質の内部にまで沈着した色素まではクリーニングだけではキレイに落とすことはできません。
ご自身の本来の歯の色以上に白く明るい色を手に入れたいという方には、ホワイトニングがおすすめです。長年気になっていた歯の黄ばみなどにも効果が期待できます。
当院のホワイトニングの
ポイント

『ホワイトニング
コーディネーター』がいる安心
埼玉県さいたま市・与野駅前の歯医者|歯科医院【与野さとむら歯科】には、ホワイトニングのプロフェッショナル「ホワイトニングコーディネーター」が在籍しており、安心して施術を受けていただけるようサポートをしています。
「ホワイトニングが初めて」という方も安心してご利用いただけます。お口元やホワイトニングに関するお悩みやご希望がございましたら、どうぞお気軽にご相談ください。
ホワイトニングコーディネーターとは?
ホワイトニングコーディネーターは、日本審美歯科学会 (JAED) が認定する歯科衛生士の専門資格です。
ホワイトニング(歯の審美的漂白)の正しい情報の普及と多くの人にホワイトニングの喜びを享受してもらうため、適切なアドバイスのできる人材養成を目的に2007年に設立。
ホワイトニングについて熟知した、言わばホワイトニングケアの専門家と言えます。
ライフスタイルに合わせて
選べる3つのメニュー
当院では、歯科医院で行う「オフィスホワイトニング」と、ご家庭で好きな時間に行える「ホームホワイトニング」、そして2つを併用した「デュアルホワイトニング」をご提供しております。
また、歯列矯正とホワイトニングを合わせた治療なども可能です。
あなたのご希望やライフスタイルに合わせたホワイトニングプランをご提案しておりますので、まずはお気軽にカウンセリングへお越しください。
ホワイトニングの
種類や特徴、
メリット・デメリット
について

ホームホワイトニングとは
ご自宅にて患者さまご自身に行っていただくホワイトニングです。
最初に当院にて歯列全体の型取りして、専用のマウスピースをお作りします。
ご自宅にてマウスピースに薬剤を入れて1日に数時間装着していただき、2~6週間ほどかけて徐々に白くしていきます。
効果の実感には個人差はありますが、時間をかけて行うことでナチュラルな白さを得られやすく、色戻りしにくい効果を
期待できます。
メリット
- 天然歯に近い自然な仕上がりになる
- 自分の好きなタイミングに自宅でできる
- 色戻りしにくい(長持ちしやすい)
- 知覚過敏などの症状が出にくい
デメリット
- 効果を実感できるまでに時間がかかる
- オフィスホワイトニングと比べると
白さの程度がやや劣る
オフィスホワイトニングとは
当院の診療室にてプロの施術を受けていただけるホワイトニングです。
歯の表面にホワイトニング剤を乗せてLEDを照射し、これを1セット(1歯30~60秒程)行います。
短時間で効果を実感しやすいメリットがありますが、急激に歯を白くするので再着色(色戻り)が早めという特徴があります。
基本的に2週間おきに数回することでより高い効果を期待できるでしょう。
メリット
- 際立つ白さをすぐに実感しやすい
- プロによる施術を受けられる
- 短時間でできる
デメリット
- 色戻りしやすい(長持ちしにくい)
- 知覚過敏が出やすい場合がある
デュアルホワイトニングとは
ホームホワイトニングとオフィスホワイトニングを併用するメニューです。
2つを併用することで、より高いホワイトニング効果を得やすくなり、さらにより長持ちしやすくなり
ます。
効果にこだわりたい方におすすめのホワイトニングです。
メリット
- より白さの際立つ歯を手に入れられる
- プロによる施術を受けられる
- 色戻りしにくい(長持ちしやすい)
- より高いホワイトニング効果を求める方
にお勧め
デメリット
- 知覚過敏が出やすい場合がある
各ホワイトニングの費用(金額・値段・料金)
について
ホワイトニングが
できない症例、
副作用やリスクについて

ホワイトニングが
できない症例とは?
以下のような場合は、ホワイトニングが適さないこともあります。
- 重度の虫歯や歯周病がある場合
(事前に治療が必要です) - 詰め物や被せ物が多い場合
(ホワイトニング剤の影響を受けないため) - 妊娠中・授乳中の方
(安全性の観点から治療を控えることが推奨されています)
ホワイトニングが自身に合っているかどうかは、当院のカウンセリングで相談できます。まずはお気軽にご相談ください。
ホワイトニングで可能性のある
副作用について
ホワイトニングは安全性の高い治療法ですが、以下のような副作用が起こる場合があります。
- 歯の知覚過敏
- 歯茎の刺激・炎症
- 歯の変色が不均一になる
- 歯の表面が粗くなる
- ホワイトニング効果が不十分
- 既存の修復物への影響
上記のような副作用を最小限にするためにも、“信頼できる歯科医院でホワイトニングの施術を受ける”ことが大切です。
そして施術を受ける際には、事前にしっかりと歯科医師やスタッフに相談し、ご自身に合ったケアを受けるようにしましょう。
ホワイトニングの
施術の流れ、
治療期間について
ここでは、歯科医院/歯医者さんで行われるオフィスホワイトニングの基本的な治療の流れ・手順をご紹介します。
初診カウンセリング・診査
患者様のご希望(どの程度白くしたいかなど)をお伺いします。
歯の状態を確認して虫歯や歯周病の有無を検査したうえで、ホワイトニングの適応かどうかを判断し、ぴったりの治療方法をご提案します。
料金や治療スケジュールなどについても丁寧にご説明します。

歯のクリーニング(事前処置)
ホワイトニング効果を高めるために、歯石や着色汚れを取り除くクリーニングを行います。
歯の表面を清潔な状態に整えることで、ホワイトニング剤がより効果的に作用します。
また、歯周病や虫歯がある場合は、ホワイトニングに先立って治療が必要となります。

ホワイトニングの施術
オフィスホワイトニングでは、まず歯ぐきを保護するジェルやシートを使用したうえで歯にホワイトニング剤を塗布し、専用の光を当てて薬剤を活性化させる処置を行います。
必要に応じて複数回繰り返します。
所要時間は60~90分程です。即効性が高いため、1回の施術でも効果を実感できる場合があります。

経過観察・メンテナンス
ホワイトニングの効果が持続しているか、色戻りがないかを定期的にチェックします。
必要に応じて追加の施術やアドバイスを行います。
ホワイトニングの効果を維持するためには、定期的なクリーニングやアフターケアが重要です。

ホワイトニングの治療期間の目安
- オフィスホワイトニング:
1~3回程度(個人差あり) - ホームホワイトニング:
2~4週間程度の継続 - デュアルホワイトニング:
2~4週間を基本とし、必要に応じて調整
ホワイトニング後の
注意事項について

ホワイトニング効果を
長持ちさせる方法は?
ホワイトニングの施術直後は、コーヒー、紅茶、ワイン、カレーなどの着色しやすい食品や飲料を避け、喫煙も控えることが大切です。
ニコチンやタールが着色の原因となります。
また、ホワイトニング後の歯を維持するためには、正しいブラッシングを習慣化することが重要です。
ホワイトニングの効果や期間は個人差があるため、歯科医院での相談を通じて最適なプランを選びましょう
治療後の予防メンテナンスも
お任せください
埼玉県さいたま市・与野駅前の歯医者|歯科医院【与野さとむら歯科】では、日本歯周病学会 認定歯科衛生士の資格を持つスタッフ指導のもと、より専門的な虫歯や歯周病の予防にも注力しています。
ホワイトニングの症例
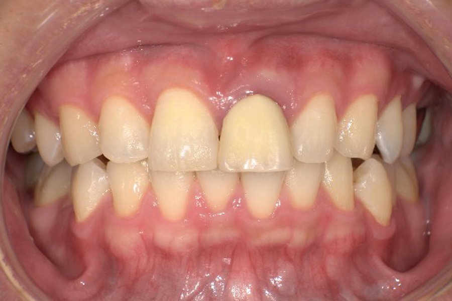
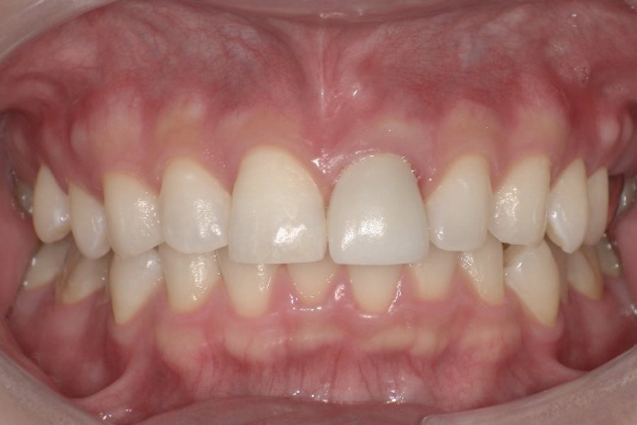
症例1:歯を白くしたい、
前歯の被せ物をやり直したい
治療前

治療後

| 主訴 | 歯を白くしたい、 前歯の被せ物をやり直したい |
| 治療期間 | 1ヶ月 |
| 治療費 | 総額187,000円(ホワイトニングは医院開業特別価格) |
| 治療内容 | デュアルホワイトニング(ホーム+オフィス)で11トーン明るくし、その色に合わせて左上1番目の前歯をレイヤリングジルコニアクラウンで補綴しました。 |
| 治療の リスク | ホームホワイトニングを行う際は、適切な薬液の量と時間を守らないと、知覚過敏を起こすことがあります。 |
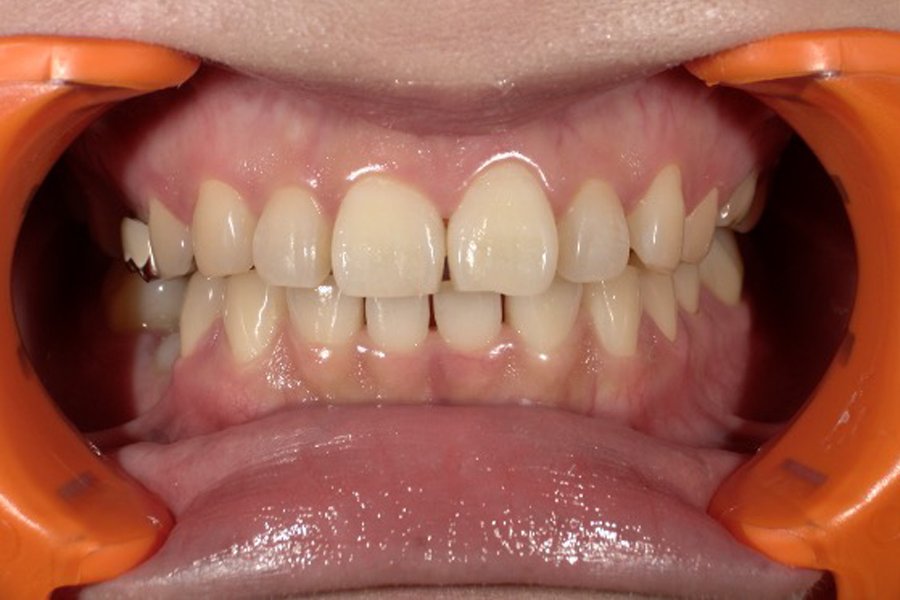
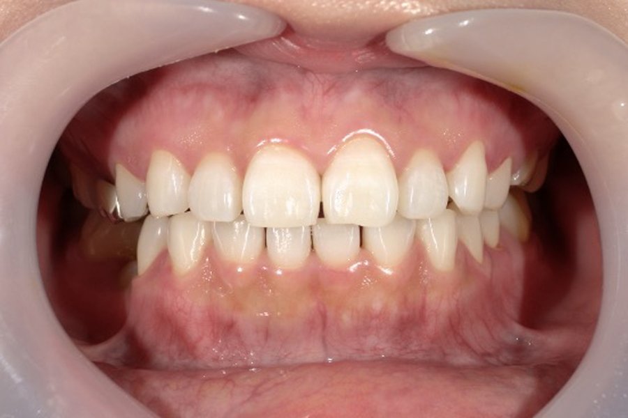
症例2:歯を白くしたい
治療前

治療後

| 主訴 | 歯を白くしたい |
| 治療期間 | 1ヶ月 |
| 治療費 | 49,800円 (医院開業特別価格) |
| 治療内容 | デュアルホワイトニング (ホーム+オフィス) |
| 治療の リスク | ホームホワイトニングを行う際は、適切な薬液の量と時間を守らないと、知覚過敏を起こすことがあります。 |
よくあるご質問

Q. 一度の通院で思い通りの白い歯になれますか?
A. 一度の通院で思い通りの白い歯になれるかどうかは、患者様の歯の状態や希望する白さの度合いによって異なります。
以下に詳しく説明します。
一度の通院で得られる効果
オフィスホワイトニングの場合
オフィスホワイトニングは即効性が高い治療法です。一度の施術でもある程度の白さを実感できることが多いですが、希望の白さが非常に高い場合には、複数回の施術が必要なことがあります。
効果が高いケース
軽度の着色や黄ばみ。
複数回必要なケース
長期間の喫煙や濃い飲食物による強い着色。
ホームホワイトニングや
デュアルホワイトニングの場合
ホームホワイトニングでは一度の施術というよりも、数週間にわたり自宅で継続的に行うことで効果を得ます。短期間で効果を実感するためには、オフィスホワイトニングと併用するデュアルホワイトニングが適しています。
白さの目標と自然な仕上がり
一度の通院で「理想的な白さ」を得られるかどうかは、自然な歯の色味や現在の着色レベルに影響されます。歯を極端に白くすると自然な仕上がりが損なわれる可能性があるため、適度な白さを目指すことが推奨されます。
追加施術が必要な場合も
一度で満足のいく結果が得られない場合には、追加の施術や自宅でのケアを提案されることがあります。特に、ホワイトニング効果を持続させるためには、定期的なクリーニングやアフターケアが重要です。
ご相談のすすめ
患者様の歯の状態や目指す白さのレベルによって治療方法は異なります。一度の通院でどの程度の効果を期待できるか、事前に歯科医師へ相談されると安心です。
Q. 1回ホワイトニングをすると、
どのくらいの期間
効果が持続しますか?
A. ホワイトニングの効果がどのくらい持続するかは、患者様の生活習慣やホワイトニングの種類によって異なります。以下に一般的な目安をお伝えします。
効果の持続期間
オフィスホワイトニング
オフィスホワイトニングの持続期間は約3〜6ヶ月で、即効性がありますが、日常生活での飲食や生活習慣により、徐々に色戻りが起こることがあります。
ホームホワイトニング
ホームホワイトニングの持続期間は6ヶ月〜1年で、時間をかけて徐々に白くするため、色戻りが比較的緩やかで、長期間効果が持続しやすいです。
デュアルホワイトニング(オフィス+ホームの併用)
オフィスホワイトニングの即効性とホームホワイトニングの持続力を組み合わせることで、持続期間の目安は1年〜1年半となり、最も長く効果を保てる方法です。
効果の持続に影響する要因
生活習慣
色の濃い飲食物(コーヒー、紅茶、赤ワイン、カレーなど)は着色の原因となり、喫煙もタバコのヤニが歯を黄ばませる大きな要因です。
歯磨き習慣
着色を防ぐために、日々のブラッシングやホワイトニング用歯磨き剤の使用が重要です。
歯の質
歯のエナメル質が薄い場合や元々の歯の色が濃い場合は、効果が早く薄れることがあります。
効果を長持ちさせるためのポイント
- ホワイトニング後24〜48時間は着色しやすいため、色の濃い食べ物・飲み物を控える。
- 定期的な歯のクリーニングやメンテナンスを受ける。
- 自宅でのタッチアップ(追加ホワイトニング)を行うと効果が長持ちします。
個別相談のすすめ
持続期間は個人差が大きいため、定期的なメンテナンスのスケジュールやケア方法について、歯科医師に相談されることをおすすめします。
Q. 施術を受けるにあたっての
注意点はありますか?
A. ホワイトニング施術を受ける際には、以下のような注意点を把握しておくことが重要です。事前に知っておくことで、より安全で効果的な治療が受けられます。
ホワイトニング前の注意点
歯や歯茎の健康状態の確認
虫歯や歯周病がある場合はホワイトニング前に治療が必要で、健康な歯や歯茎でないと施術中に痛みやトラブルが起こる可能性があります。また、歯石や着色汚れがある場合は、施術前にクリーニングを行うことで効果が高まります。
歯の状態による制限
人工の歯(被せ物や詰め物)にはホワイトニング効果がありません。天然の歯との色の差が気になる場合、被せ物の再製作が必要なことがあります。
妊娠中・授乳中
妊娠中や授乳中のホワイトニング施術は推奨されないことがあります。安全性の観点から、歯科医師と相談してください。
ホワイトニング中の注意点
知覚過敏
施術中または直後に一時的に知覚過敏が起こることがあり、冷たいものや熱いものがしみる場合には歯科医師に相談してください。必要に応じて、知覚過敏を抑える歯磨き剤を使用することがあります。
ホワイトニング後の注意点
色戻りを防ぐための飲食制限
施術後24〜48時間は歯が着色しやすい状態となるため、コーヒー、紅茶、赤ワイン、カレーなどの色の濃い食品・飲料を避け、喫煙も控えることが推奨されます。
知覚過敏への対応
ホワイトニング後も知覚過敏が続くことがありますが、通常は数日で治まります。必要に応じて知覚過敏用歯磨き剤を使用してください。
歯磨きの注意
力を入れすぎたブラッシングは歯や歯茎に負担をかけます。柔らかい歯ブラシを使用し、優しく磨くようにしましょう。
その他の注意点
結果に個人差がある
ホワイトニングの効果は歯の質や着色の程度、元々の歯の色などに影響されます。一度で思い通りの白さにならない場合もあるため、現実的な期待を持つことが大切です。
アフターケアが重要
定期的な歯のクリーニングやホームホワイトニングのタッチアップを行うことで、白さを維持できます。
不安がある場合は事前に相談
ホワイトニングを安全に受けるために、事前のカウンセリングで気になる点を歯科医師に相談し、自分に合った施術方法を選びましょう。
Q. ホワイトニングができない人、
できない歯はありますか?
A. ホワイトニングは誰でも受けられるわけではなく、健康状態や歯の状況によっては適応しない場合があります。以下に、ホワイトニングが難しいケースについて詳しく説明します。
ホワイトニングができない人
妊娠中・授乳中の方
安全性が確立されていないため、妊娠中や授乳中の方はホワイトニングが推奨されません。
重度の知覚過敏の方
ホワイトニングにより歯の表面が一時的に刺激を受け、知覚過敏が悪化する可能性があります。事前に知覚過敏の治療が必要です。
アレルギー体質の方
使用するホワイトニング剤に含まれる成分に対するアレルギーがある場合は、施術ができません。
歯や歯茎の健康状態が悪い方
虫歯、歯周病、歯の亀裂がある場合は、まずこれらの治療を優先する必要があります。健康状態が改善してからホワイトニングが可能です。
ホワイトニングができない歯
人工歯や修復物がある歯
被せ物(クラウン)、詰め物(インレー、アンレー)、義歯、ブリッジ、ラミネートベニアなどの人工物にはホワイトニング効果がありません。周囲の天然歯と色を合わせるために、修復物の交換を検討することがあります。
神経を失った歯
神経を失った歯は変色しやすく、通常のホワイトニングでは効果が出ないことがあります。その場合、歯の内部を漂白する「ウォーキングブリーチ」という特殊な方法が適用されることがあります。
着色の原因が内因性の場合
エナメル質や象牙質の構造に起因する変色(例えば、テトラサイクリン歯やフッ素症)は、ホワイトニングでは十分な効果が得られない場合があります。
重度のエナメル質の損傷がある場合
歯のエナメル質が大きく損傷している場合は、ホワイトニングが適用できません。これには、歯のエナメル質の欠如やひび割れが含まれます。
その他の注意点
年齢制限がある
一般的に、永久歯が生えそろっていないお子様にはホワイトニングは推奨されません。また、未成年の場合は歯科医師と保護者の同意が必要です。
薬の影響を受けた歯
抗生物質(テトラサイクリン)などの服用によって起こる変色は、ホワイトニングだけでは改善が難しい場合があります。
極端な期待を持つ場合
自然な範囲を超えた白さを求める場合、結果に満足できない可能性があります。現実的な目標を持つことが大切です。
事前カウンセリングが重要
ホワイトニングが適応できるかどうかは、事前の診察やカウンセリングで判断します。歯や口腔内の状態を詳しく診てもらい、自分に適した方法を選択しましょう。


